CD4 is a transmembrane protein expressed in helper T-cells, the majority of mature peripheral T-lymphocytes and mature thymocytes, and a subset of suppressor of cytotoxic T-cells. It is not expressed
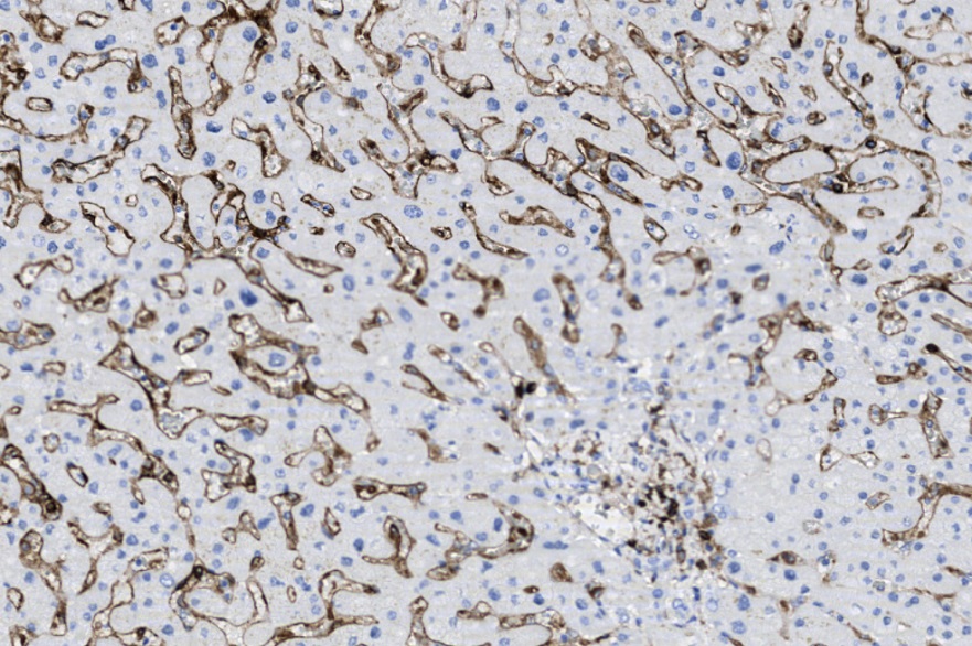
in immature thymocytes. CD4 is also expressed in Kupffer cells of the liver sinusoids and liver sinusoidal
endothelium, monocytes, and monocyte-derived cells such as histiocytes and Langerhans cells
Intended use
The antibody labels CD4 in both normal and neoplastic cells. It is a useful tool for identifying and classifying anaplastic large cell lymphomas, unspecified peripheral T-cell lymphomas, and mycosis fungoides, when used in with a panel with other antibodies.
|
Specifications |
|
|
product code: 8226-C010 |
Clone: EP204 [Rabbit monoclonal] |
|
Staining pattern: Membranous staining |
Control tissue: Tonsil, liver |
|
Associated panels: Dermatopathology |
|
|
Assessment criteria |
|
|
A strong, distinct, predominantly membranous staining reaction of virtually all helper/inducer T-cells in the T-zones and within the germinal centres of the tonsil |
|
|
At least moderate, distinct, predominantly membranous staining reaction of the majority of macrophages as germinal centre macrophages in the tonsil and Kupffer cells in the liver |
|
| At least weak to moderate staining reaction of endothelial cells in the liver sinusoids | |
|
No staining of other cells. Especially all B-cells, Hodgkin/Reed-Sternberg cells and squamous epithelial cells in the tonsil should be negative |
|
Comments
0 comments
Please sign in to leave a comment.