Cadherin 17 (CDH17), is a transmembrane glycoprotein involved in cell adhesion. CDH17 is expressed in normal intestinal epithelium (e.g., colon including appendix and small intestine). It is also expressed in pancreatic excretory ducts and is occasionally observed focally in gallbladder epithelium and intrahepatic bile ducts. In addition, CDH17 expression can be seen in rare inflammatory cells within or near epithelial cell layers (e.g., tonsillar epithelium). CDH17 is not expressed in liver hepatocytes..
Intended use
CDH17 has been used to identify carcinomas of colorectal, gastric, and pancreatic origin. CDH17 is detected in 96-100% of colorectal carcinomas, 43-90% of gastric carcinomas, and 39-82% of pancreatic ductal carcinomas. CDH17 has shown superior sensitivity when compared to CDX2 or CK20 in detecting colorectal, gastric, and pancreatic carcinomas. Similarly, studies have shown that CDH17 expression is present in neuroendocrine neoplasms, with increased immunoreactivity from upper to lower gastrointestinal tract.
|
Specifications |
|
|
product code: 8364-C010 |
Clone: QR098 [Rabbit] |
|
Staining pattern: Membranous staining |
Control tissue: Appendix, pancreas, liver |
|
Associated panels: Gastrointestinal |
|
|
Assessment criteria |
|
|
A moderate to strong, membranous staining reaction of virtually all columnar epithelial cells in appendix. No staining in smooth muscle cells. |
|
|
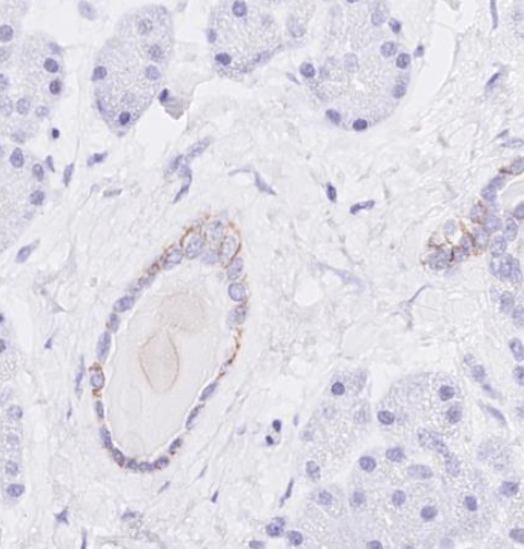
A moderate membranous staining reaction in scattered columnar epithelial cells in pancreas |
|
|
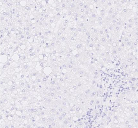
No staining reaction in liver |
|
Comments
0 comments
Please sign in to leave a comment.