Human epithelial growth factor receptor 2 (HER2), also called c-erbB2, ERBB2, or HER2/neu, is a transmembrane protein that is expressed in a range of normal cells and tumors. Of significance is the finding that HER2 can be overexpressed in a percentage of such tumors, e.g. in 15-25% of breast cancers and in approximately 22% of gastric cancers
Intended use
The anti-HER2 antibody is useful for assessing HER2 protein expression status in human breast and gastric/ gastroesophageal adenocarcinomas
|
Specifications |
|
|
product code: 8388-C010, 8388-M250 |
Clone: EP3 [Rabbit monoclonal] |
|
Staining pattern: Membranous staining |
Control tissue: Breast cancer with/without HER2 expression |
|
Associated panels: Breast panel |
|
|
Assessment criteria |
in progress |
|
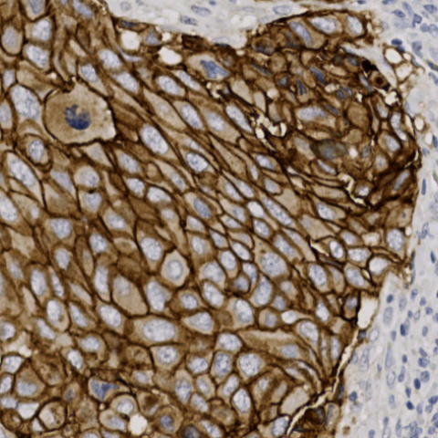
3+ Circumferential membrane staining that is complete, intense and in >10% of |
|
|
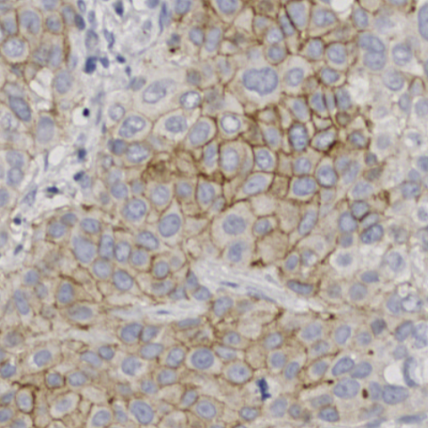
2+ Weak to moderate complete membrane staining observed in >10% of tumor |
|
|
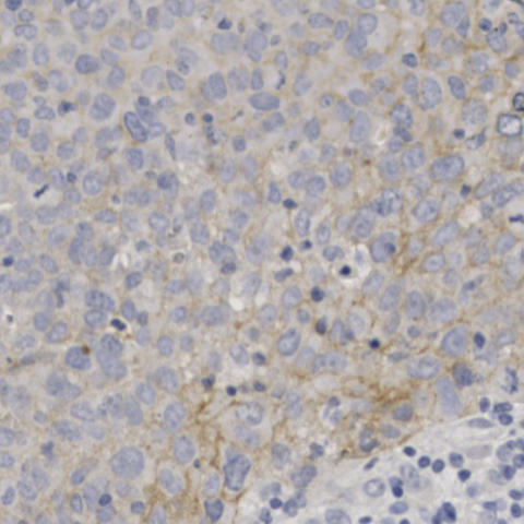
1+ Incomplete membrane staining that is faint/barely perceptible and in >10% of |
|
|
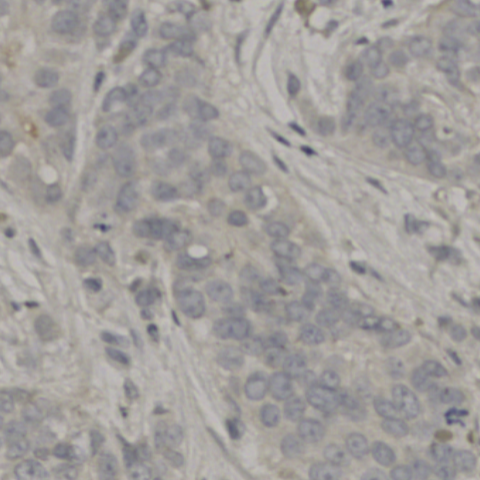
0 No staining is observed or membrane staining that is incomplete and is |
|
Comments
0 comments
Please sign in to leave a comment.