SATB2 is a nuclear transcription factor that is strongly expressed in the epithelium of the lower gastrointestinal tract, including the colon, appendix, and rectum. SATB2 expression is also observed in neuronal cells of the cerebrum, epithelial cells of renal convoluted tubules, germ cells of testis (primarily spermatocytes), and a subset of lymphocytes.
Intended use
SATB2 can be a valuable tool in the diagnostic examination of cancers, particularly in cases where the primary site of the tumour is unknown (CUP). Studies have shown that the combination of SATB2 staining with CDX2 can significantly enhance the identification of colorectal carcinomas with a reported range of 79-95% of cases expressing SATB2. SATB2 positivity is observed in the majority of neuroendocrine neoplasms originating from the appendix and rectum.
|
Specifications |
|
|
product code: 8356-C010 |
Clone: QR023 [Rabbit] |
|
Staining pattern: Nuclear staining |
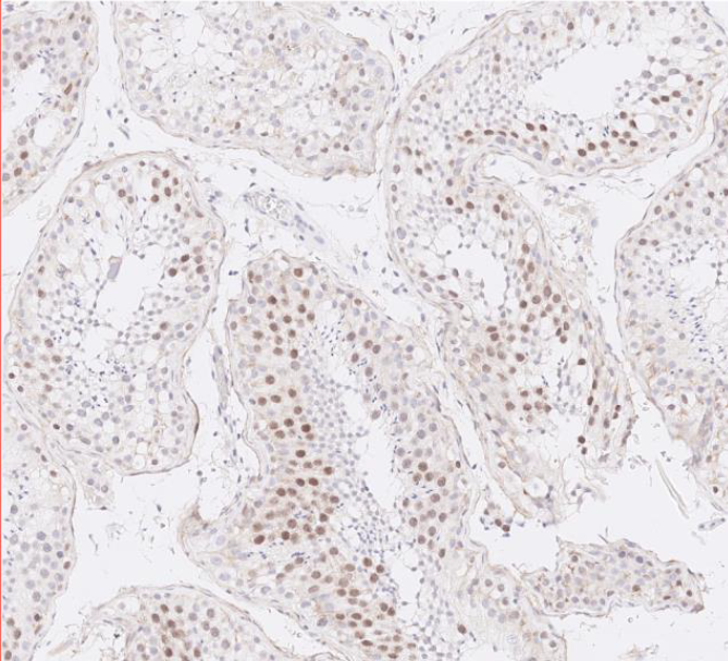
Control tissue: Appendix, colon, testis |
|
Associated panels: Carcinoma - general panel, Gastrointestinal |
|
|
Assessment criteria |
|
|
A strong, distinct nuclear staining reaction in virtually all epithelial cells of the appendix/ colon * |
|
|
A distinct, weak to moderate nuclear staining reaction in dispersed germ cells (primarily spermatocytes) in seminiferous tubules of testis |
|
|
No staining reaction in smooth muscle cells in lamina muscularis propria, endothelial cells and nerves of appendix/ colon |
|
| * A weak cytoplasmic staining reaction can be expected/ accepted in cells with a strong nuclear staining reaction | |
Comments
0 comments
Please sign in to leave a comment.