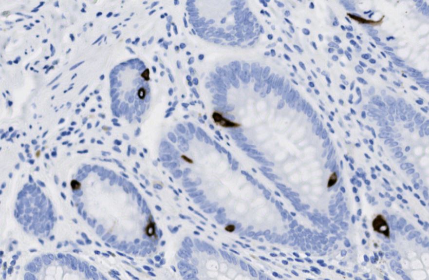
Chromogranin A is a secreted glycoprotein of the chromogranin/secretogranin family that is found in the secretory granules of most endocrine cells. IHC staining shows expression of Chromogranin A in a variety of endocrine tissues such as the pituitary, hypothalamus, thymus, thyroid, adrenal medulla, parathyroid, pancreas, and intestine
Intended use
Chromogranin A is also found in neuronal tissues and neuroendocrine tumors, examples of the latter including pituitary adenomas, islet cell tumors, paragangliomas, medullary thyroid carcinomas, pheochromocytomas, carcinoid tumors, and Merkel cell tumors. This anti- Chromogranin A antibody may be useful in the identification of neuroendocrine tumors when used with a panel of antibodies
|
Specifications |
|
|
product code: 8286-C010 |
Clone: LK2H10 [Mouse] |
|
Staining pattern: Cytoplasmic staining |
Control tissue: Appendix |
|
Associated panels: Lung panel, Gastrointestinal |
|
|
Assessment criteria |
|
|
A strong and distinct cytoplasmic staining of neuroendocrine cells in appendiceal mucosa |
|
|
At least weak to moderate, distinct granular cytoplasmic staining of normal ganglion cells and axons in nerve plexus of appendix |
|
|
No staining of enterocytes and smooth muscle cells in appendix |
|
Comments
0 comments
Please sign in to leave a comment.