![]() |
CD10, also known as common acute lymphoblastic leukemia antigen (CALLA), is a cell surface metallopeptidase expressed on early lymphoid progenitors, a small subset of immature B-cells, proliferating B-cells and mature neutrophils. CD10 is also expressed on various non-lymphoid cells including breast myoepithelial cells, bile canaliculi, fibroblast, renal glomerular and tubular epithelial cells, and small intestine epithelium
Intended use
The antibody labels CD10 in both normal and neoplastic cells. It is a useful tool for classifying Burkitt’s lymphoma, some follicular lymphoma, and renal cell carcinoma when used with a panel of antibodies.
|
Specifications |
|
|
product code: 8386-C010 |
Clone: QR021 [Rabbit monoclonal] |
|
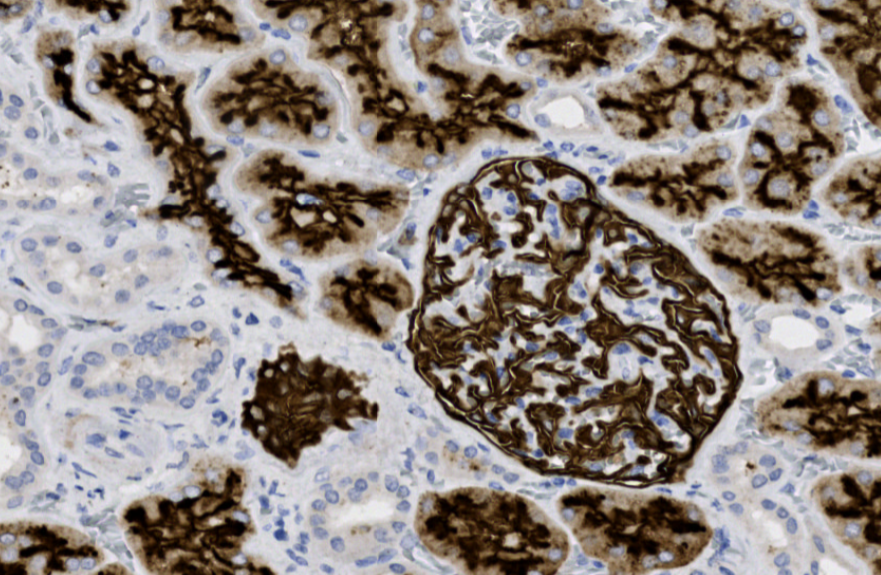
Staining pattern: Membranous/cytoplasmic staining |
Control tissue: Kidney, tonsil |
|
Associated panels: Carcinoma general panel, Lymphoma panel, breast panel |
|
|
Assessment criteria |
|
| A moderate to strong, predominantly membranous but also cytoplasmic staining reaction of virtually all epithelial cells in the renal proximal tubules and the parietal layer of the Bowman’s capsule
|
|
|
At least moderate, distinct membranous staining of virtually all germinal center B-cells in tonsil |
|
|
No staining must be seen in the mantle zone B-cells and squamous epithelial cells |
![]() |
|
* Scattered neutrophils and endothelial cells will typically show a weak to strong staining reaction |
|


Comments
0 comments
Please sign in to leave a comment.